
جراحی افزایش طول تاج (crown length)
افزایش طول تاج (crown length)
در بسیاری از موارد نیاز به افزایش طول تاج کلینیکی می باشد مانند درمان گامی اسمایل، مواقعی که به اندازه کافی تاج برای ترمیم یا روکش موجود نمی باشد و مواقعی که نسبت تاج به ریشه دچار مخاطره شده است.
این درمان به چند روش قابل انجام است :
1- لیفت لثه یا افزایش طول تاج با فرز سرامیکی لیفت لثه
لیفت لثه با فرز های مخصوص سرامیکی یک روش مدرن برای فرم دهی و افزایش تاج دندان در دندانپزشکی است.
در این روش دندانپزشک با استفاده از فرزهای مخصوص،لثه را برش داده و قسمتی از آن را برمی دارد تا ظاهر بلند لثه کاهش پیدا کرده و یا عدم تقارن آنها اصلاح شود این روش جایگزین استفاده از جراحی است و به دلیل مزایایی همچون حداقل خونریزی و سرعت عمل کاربرد بیشتری دارد.

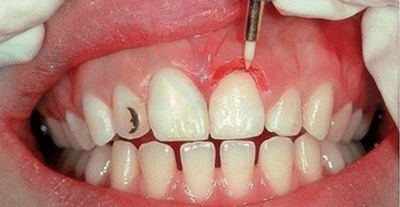
2 - لیفت لثه یا افزایش طول تاج توسط لیزر
به کمک عمل زیبایی لیفت لثه با لیزر، بافت اضافه لثه برداشته می شود و خط لثه متعادل و هم سطح می شود و دندان ها بلند تر دیده خواهند شد.
درمان لیفت لثه با استفاده از لیزر نسبت به روش جراحی هزینه کمتری دارد در این روش احساس درد و خطر خونریزی و عفونت کاهش میابد و سریع تر بهبود می یابد.
در این روش با لیزر معمولا نیازی به استفاده از داروی بی حسی نیست و با حداقل میزان تهاجم به بافت لثه و دندان انجام می شود.
استفاده از لیزر برای درمان لبخند لثه ای به این دلیل که دیگر نیازی به به اصلاح استخوان ندارد یک روش درمانی ایده آل است.
اما چنانچه خط اتصال تاج و ریشه دندان و سطح استخوان دارای مشکل باشند آنگاه روش جراحی برای برداشتن لثه و اصلاح استخوان ضروری است.
لیفت لثه با لیزر چگونه انجام می شود؟
لیفت لثه که به آن کانتورینگ لثه و یا جینجیوپلاستی نیز گفته می شود یک عمل زیبایی دندانپزشکی است که این روش به جهت زیباتر کردن دندان ها انجام می شود.
برخی از افراد این عمل را به جهت جلوگیری از پیشروی بیماری های لثه انجام می دهند.
این عمل نسبتا ساده و سریع است و در یک جلسه قابل انجام است.
معمولا عوارض چندانی ندارد و توسط یک بی حسی موضعی در مطب انجام می شود.






